How AI can transform healthcare and solve clinical problems

by Maxine Myers

Artificial Intelligence

Artificial Intelligence (AI) has the potential to improve the delivery of healthcare, say researchers at a special Imperial event.

Researchers from Imperial College London and clinicians working at Imperial College Healthcare NHS Trust (ICHT), the Royal Brompton & Harefield NHS Foundation Trust and The Royal Marsden NHS Foundation Trust gathered at the recent Imperial College Academic Health Science Centre’s (AHSC) workshop on digital radiology.  The event took place on Imperial’s South Kensington campus.

The purpose of the event was to identify new opportunities to accelerate research and innovation in clinical image analysis through machine learning, artificial intelligence and other digital technologies. The AHSC workshop brought together clinical researchers, computer scientists, mathematicians and IT leads working across Imperial’s faculties with clinicians at NHS hospitals across west London.

AI will have a transformative effect

Professor Jonathan Weber, Director of Imperial College AHSC, said: “There are tremendous opportunities to develop and improve the delivery of care through AI and other digital technologies. From redefining drug discoveries to helping predict and prevent diseases using health record data, AI will have a transformative effect on doctors and patients. The AHSC aims to be a national leader in this field and researchers and clinicians from the College, and across our NHS partner trusts, are working together on ground-breaking AI research that is already changing lives.  I hope the delegates at our event were inspired and will look at ways to work together on AI research projects that can hep change the way we deliver care and lead to better outcomes for patients.”

From redefining drug discoveries to helping predict and prevent diseases using health record data, AI will have a transformative effect on doctors and patients. Professor Jonathan Weber Director of Imperial College AHSC

During the event, delegates heard about Imperial’s existing clinical research programmes in digital radiology as well as machine learning, AI and mathematical research capability.  They also heard about some of the clinical radiology challenges across west London hospitals such as workforce shortages of radiographers and radiologists and increased demand on radiology investigations. 

Delegates also had the opportunity to hear examples of how clinicians are working with Imperial scientists to solve clinical problems. 


Predicting brain age

Professor David Sharp, NIHR Research Professor at Imperial College London and consultant neurologist at ICHT, outlined his research on using AI to predict a patient’s brain age following a traumatic brain injury (TBI).

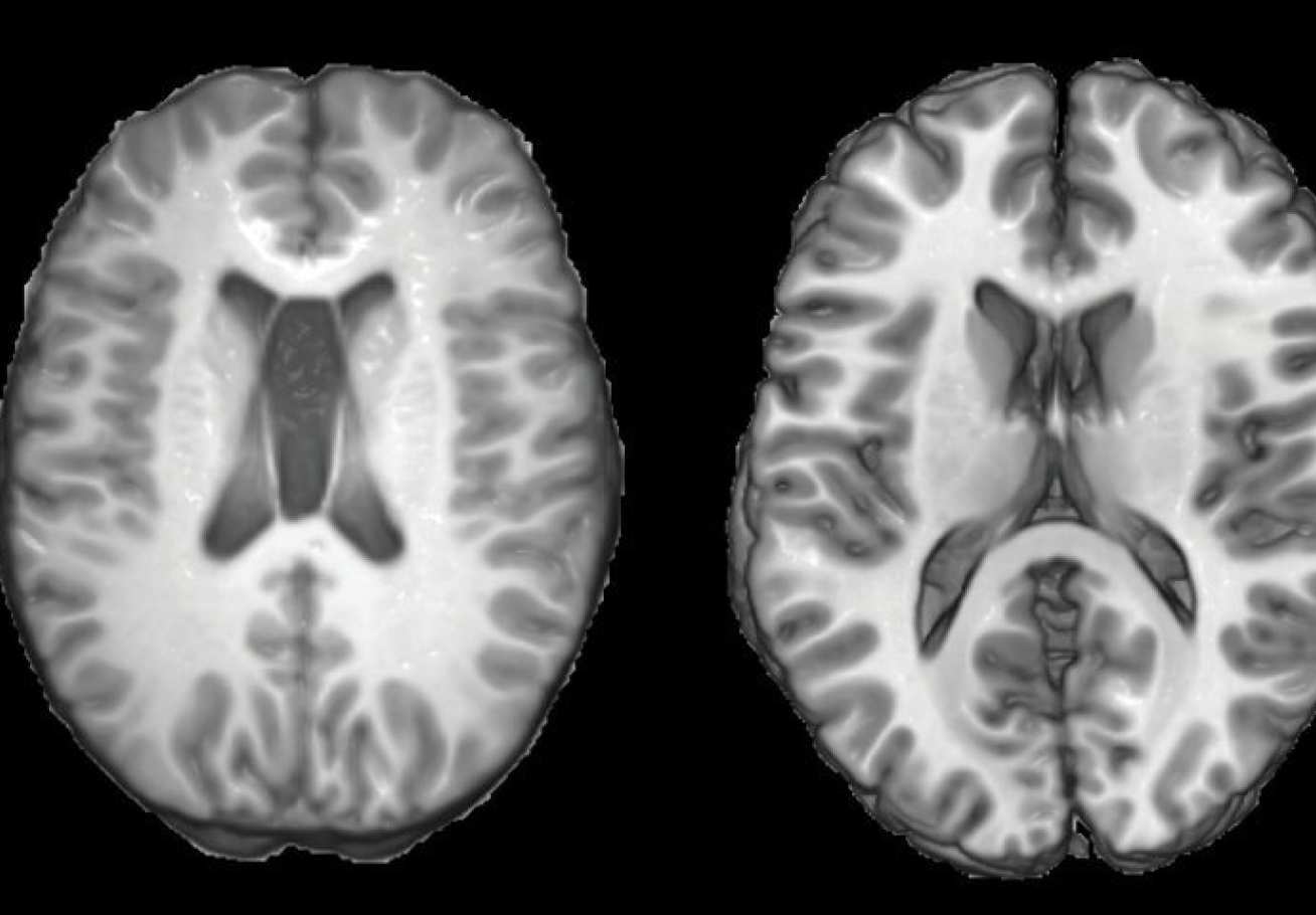
MRI scans from a traumatic brain injury patient (left) and a healthy person (right).
MRI scans from a traumatic brain injury patient (left) and a healthy person (right).

TBI is an injury to the brain caused by an external force such as in a car collision. The severity of the injury, ranging from mild to severe, determines the long-term effects on the patients. It is one of the most common causes of death and disability worldwide in people under 40 years old, but it’s often devastating effects are only just beginning to be recognised.

Professor Sharp and his team have developed a computer program that could predict a person’s age from their brain scan. 

People who have suffered serious head injuries show changes in brain structure resembling those seen in older people. TBI patients were estimated to be around five years older on average than their real age. Head injuries are already known to increase the risk of age-related neurological conditions such as dementia later in life. The age prediction model may be useful as a screening tool to identify patients who are likely to develop problems and to target strategies that prevent or slow their decline.

Improving stroke treatment

Dr Paul Bentley, Clinical Senior Lecturer and Consultant Neurologist at ICHT, talked about his work on using AI to predict how patients will respond to treatments following a stroke. 

Stroke - where the blood flow to the brain is interrupted by a clot or bleed - is the leading cause of disability in the UK with almost two thirds of stroke survivors leaving hospital with a disability. 

Treatment for stroke usually involves taking one or more different medications or surgery to treat the condition and prevent it happening again.  However, in some patients the medication can make the bleeding worse leading to haemorrhaging and death.

Dr Bentley and his team developed a computer software programme that can read the CT scans of stroke patients and predict how they will respond to treatment.  This can help clinicians decide on the most appropriate treatment in emergency medicine.

Predicting death risk

Dr Declan O’Regan, Lead Clinician for Imaging Research at Imperial College Healthcare NHS Trust and Clinician Scientist at the MRC London Institute of Medical Sciences, explained his work on creating computer software that can predict death risk in people with serious heart disease faster and more accurately than current methods.

Computer software creates a 3D virtual heart from MRI scans, then learns to predict when patients will die
Computer software creates a 3D virtual heart from MRI scans, then learns to predict when patients will die

The software, developed by scientists at the College, has created virtual 3D hearts of each patient that replicate the way the organ contracts with each beat. Artificial intelligence is able to rapidly learn which features of cardiac function best predict heart failure and death. The system uses magnetic resonance imaging (MRI) of the heart together with information from blood tests and other observations.

The technology has been tested on patients with pulmonary hypertension, a condition that leads to heart failure if not treated appropriately, at Hammersmith Hospital. However, the type of treatment needed depends on predicting whether patients fall into high or low risk groups – a method which is often inaccurate using current techniques.

Delegates also had the opportunity to take part in a panel debate to discuss additional resource and infrastructure needed to harness the opportunities in AI and healthcare.

The AHSC workshop is an example of the work carried out by Imperial College Academic Health Science Centre, a joint initiative between Imperial College London and three NHS hospital trusts. It aims to transform healthcare by turning scientific discoveries into medical advances to benefit local, national and global populations in as fast a timeframe as possible.

Image credit: Maxim Gaigul/Shutterstock.com

Article text (excluding photos or graphics) © Imperial College London.

Photos and graphics subject to third party copyright used with permission or © Imperial College London.

Reporter

Maxine Myers

Communications Division